
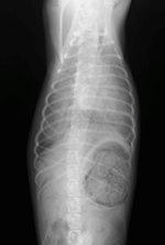
症例1
プロフィール:バーニーズマウンテンドッグ、9歳、雄
主訴:急にお腹が張ってきて、吐きそうで吐けない。
身体検査所見:腹囲膨満、鼓音を認める。
X線検査所見:胃拡張、180°捻転を認める。
評価:胃拡張捻転。手術による治療を実施。術後の経過は良好であった。
症例2
プロフィール:チワワ、10歳、去勢雄
主訴:夜変な咳をしてから呼吸が苦しそう。僧帽弁閉鎖不全症の治療中。
身体検査所見:喘鳴、舌のチアノーゼを認める。
X線検査所見:肺野のX線不透過性亢進、心陰影、横隔膜ラインの不明瞭化を認める。
評価:僧帽弁閉鎖不全症、急性肺水腫。酸素療法、強心剤投与などの内科治療を実施し、呼吸状態の改善を認めた。
症例3
プロフィール:セキセイインコ、2才、雌。
主訴:お腹が膨らんで苦しそうにしている。
身体検査所見:腹部の膨満と硬結感を認める。
X線検査所見:腹腔内に卵殻を伴った卵を認める。
評価:卵塞。ガス麻酔下にて用手排卵を実施し卵を排出。麻酔の覚醒は良好であった。